Icon eines Eckzahns

Implantologie in Kassel - Feste Zähne für ein gutes Gefühl

Implantologie ist ein fester Bestandteil unserer täglichen Routine. Mit über 130 erfolgreich versorgten Implantaten pro Jahr verbinden wir chirurgische Erfahrung, moderne Technik und präzise Zahntechnik zu dauerhaft verlässlichen Ergebnissen.

Wie ein echter Zahn - die Vorteile eines Implantats

Implantate ersetzen fehlende Zähne so natürlich, dass sie sich anfühlen wie echte Zahnwurzeln. Sie bieten festen Halt, sehen aus wie natürliche Zähne und funktionieren genauso zuverlässig beim Kauen und Sprechen. Der darauf befestigte Zahnersatz fügt sich optisch nahtlos ein und ist von eigenen Zähnen praktisch nicht zu unterscheiden. Als dauerhafte Lösung für einzelne oder mehrere Zahnlücken sorgen Implantate für eine stabile Bissfunktion und schützen gleichzeitig die benachbarten Zähne. Durch die gezielte Belastung des Kieferknochens bleibt dessen Substanz erhalten, was langfristig zur Gesundheit des gesamten Gebisses beiträgt. Schon nach kurzer Zeit werden Implantate im Mund kaum noch wahrgenommen. Auch herausnehmbare Prothesen gewinnen deutlich an Komfort und Halt, ganz ohne störende Gaumenplatten.
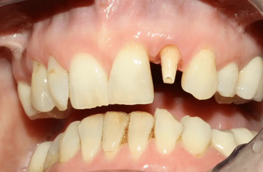
Vorbereitung für eine Vollkeramikkrone im Oberkiefer bei einem Patienten in unserer Kasseler Praxis.
Ergebnis nach der Behandlung: Natürliches Lächeln durch eine perfekt angepasste Vollkeramikkrone im Oberkiefer.

Titan – bewährt, sicher, verträglich

In unserer Praxis verwenden wir nur geprüfte Implantatsysteme aus Titan. Dieses Material ist besonders körperverträglich und hat sich seit über 30 Jahren in der modernen Medizin bewährt. Das Ergebnis ist maximale Sicherheit und ein Implantat, das vom Körper zuverlässig angenommen wird.

So ist ein Implantat aufgebaut

Ein Zahnimplantat ersetzt die natürliche Zahnwurzel. Es besteht aus einem kleinen Titankörper in Schrauben- oder Zylinderform, der im Kieferknochen verankert wird. Durch seine speziell behandelte Oberfläche verwächst das Implantat fest mit dem Knochen und bildet eine stabile Basis. Dieser Einheilungsprozess dauert in der Regel zwei bis sechs Monate.

Auf dem Implantat sitzt ein Pfosten, auf dem anschließend die individuell gefertigte Zahnkrone oder Prothese aus Keramik befestigt wird. Diese sogenannte Suprakonstruktion wird entweder verschraubt oder zementiert und fügt sich funktional und optisch perfekt ein.

Hochwertiger Zahnersatz in Kassel: Eine schematische Darstellung zeigt ein im Kiefer verankertes Zahnimplantat als stabile Basis für eine Krone oder Brücke.

Ihr Weg zum Implantat – Schritt für Schritt

Jede Implantatbehandlung beginnt mit einer gründlichen Untersuchung und einer persönlichen Beratung. Mithilfe moderner Diagnostik, darunter Röntgenaufnahmen und Kieferabformungen, prüfen wir die Voraussetzungen im Kiefer und erstellen einen klar strukturierten Behandlungsplan mit Zeit- und Kostenübersicht. Nach vorbereitenden Maßnahmen wie professioneller Zahnreinigung oder Parodontitistherapie wird das Implantat unter lokaler Betäubung eingesetzt. Nach der Einheilungszeit erfolgt die Freilegung und die Versorgung mit einer individuell angepassten Krone, Brücke oder Prothese. Regelmäßige Kontrollen und Prophylaxe runden den Behandlungsverlauf ab und sichern langfristigen Erfolg.
Das eingespielte Team von Dr. Kollmar bei einem chirurgischen Eingriff unter höchsten Hygienestandards in Kassel.
Hochmodernes Dental-Mikroskop der Marke Global in der Praxis Dr. Kollmar in Kassel für präzise zahnmedizinische Behandlungen wie Wurzelkanalbehandlungen.

Wenn zuerst Knochen aufgebaut werden muss

Manchmal reicht der vorhandene Kieferknochen für ein Implantat noch nicht aus. In diesen Fällen sorgen wir zunächst für einen gezielten Knochenaufbau. Dafür verwenden wir überwiegend körpereigenen Knochen, den wir schonend aus dem Unterkiefer oder der Kinnregion entnehmen.

Dieses Knochenmaterial wächst innerhalb von etwa sechs Monaten stabil in den Kiefer ein. Erst danach wird das Implantat eingesetzt. Das klingt nach einem längeren Weg, sorgt aber für maximale Sicherheit, Stabilität und langfristig zuverlässige Ergebnisse.

Implantologie mit ausgewiesener Expertise

Als Master of Science in Oral Implantology steht Dr. Fritz Kollmar persönlich für höchste Qualität in der Implantatversorgung. Der Masterabschluss der Deutsche Gesellschaft für Implantologie gilt als internationales Qualitätslabel und bestätigt eine besondere Spezialisierung und fachliche Exzellenz auf diesem Gebiet.

Diese hohe medizinische Qualität wird auch von unabhängiger Seite bestätigt: Dr. Kollmar wird bereits seit 2020 kontinuierlich von FOCUS-GESUNDHEIT  als Experte im Fachbereich Implantologie empfohlen. Die erneuten Auszeichnungen der Jahre 2022, 2025 und 2026 unterstreichen unseren Anspruch, Ihnen durch Beständigkeit und wissenschaftliche Präzision die größtmögliche Sicherheit für Ihre festen Zähne zu bieten.
Auszeichnung für Dr. Fritz Kollmar in Kassel: Urkunde von FOCUS-Gesundheit als empfohlener Implantologe der Region 2026 für Patientenzufriedenheit und fachliche Erfahrung.
Zertifikat von FOCUS-Gesundheit für Zahnarzt Dr. Fritz Kollmar in Kassel: Empfehlung als Arzt in der Region 2022 auf Basis einer unabhängigen Erhebung zu Qualität, Service und Barrierefreiheit.
Auszeichnung als empfohlener Implantologe in Kassel: FOCUS-Gesundheit Urkunde 2020 für Dr. Fritz Kollmar.

Fester Biss und natürliche Ästhetik?