Icon eines Schneidezahns

Prothetik in Kassel: Hochwertiger Zahnersatz, der sich wie echt anfühlt

Ein lückenloses Lächeln ist weit mehr als nur Ästhetik – es bedeutet Lebensqualität, Sicherheit beim Sprechen und Genuss beim Essen. Unsere Praxis in Kassel ist spezialisiert auf komplexe prothetische Fälle. Wir fertigen für Sie keinen Zahnersatz „von der Stange“, sondern echte Maßarbeit, die exakt auf Ihren Befund und Ihre Wünsche abgestimmt ist.

Herausnehmbarer Zahnersatz: Eine passgenaue Teilprothese aus dem Meisterlabor von Dr. Kollmar in Kassel.
Ästhetische Vollprothese für Ober- und Unterkiefer – natürlicher Zahnersatz für Patienten aus Kassel.

Unser Anspruch: Funktion trifft natürliche Schönheit

Zahnersatz muss drei Dinge leisten: Er muss absolut sicher halten, biologisch verträglich sein und so natürlich aussehen, dass niemand den Unterschied bemerkt. Bevor wir starten, nehmen wir uns viel Zeit für eine umfangreiche Diagnostik sowie eine funktionelle und ästhetische Analyse. Erst wenn wir gemeinsam das Ziel klar definiert haben, beginnt die präzise Umsetzung in enger Zusammenarbeit mit unserem Meisterlabor.

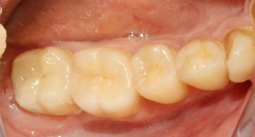
Festsitzender Zahnersatz: Die Natur als Vorbild

Der festsitzende Zahnersatz kommt der natürlichen Situation am nächsten. Er ist fest mit Ihren Zähnen oder Implantaten verankert und stellt die normale Kau- und Sprechfunktion nahezu vollständig wieder her.

Zahnkronen und Teilkronen

Ist ein Zahn durch Karies oder eine Wurzelbehandlung stark geschwächt, gibt ihm eine Krone seine Stabilität und Form zurück. Während eine Teilkrone nur die beschädigten Bereiche ersetzt, umschließt eine Vollkrone den Zahn komplett wie eine schützende Kappe.
Nahaufnahme eines passgenauen, metallfreien Keramikinlays auf einer Fingerspitze zur Verdeutlichung der Präzision.
Modell einer stabilen Vollkeramikbrücke, die als metallfreie Lösung beim Zahnarzt zur Schließung von Zahnlücken dient.

Brücken

Brücken sind die klassische Lösung, um Zahnlücken festsitzend zu schließen. Dabei dienen die Nachbarzähne der Lücke als stabile Anker (Pfeiler), die das Brückenglied in der Mitte tragen. Ob aus hochästhetischer Keramik oder robuster Metall-Keramik – wir sorgen für einen harmonischen Lückenschluss. Gut zu wissen: Damit Brücken und Kronen lange halten (im Schnitt 12–15 Jahre und oft viel länger), ist eine gute Pflege wichtig. So verhindern wir, dass sich das Zahnfleisch zurückzieht und die empfindlichen Zahnhälse anfällig für Karies werden.

Keramik oder Metall? Warum wir Vollkeramik bevorzugen

Bei der Wahl des Materials geht es heute um mehr als nur um Haltbarkeit. Wir setzen in unserer Kasseler Praxis verstärkt auf Veneers, Kronen und Brücken aus Vollkeramik , da sie im Vergleich zu metallgestütztem Zahnersatz (VMK) entscheidende Vorteile bieten:
  • Lichtechte Ästhetik: Echte Zähne sind leicht lichtdurchlässig. Nur Vollkeramik lässt das Licht so tief eindringen wie natürlicher Zahnschmelz. Das Ergebnis: Ein Zahnersatz, der im Mund „lebt“ und nicht wie ein Fremdkörper wirkt.
  • Keine dunklen Ränder: Bei Metallkronen schimmert oft nach einigen Jahren ein dunkler Metallrand am Zahnfleisch durch, wenn dieses leicht zurückweicht. Bei Vollkeramik bleibt der Übergang zum Zahnfleisch immer hell und natürlich.
  • Höchste Bioverträglichkeit: Keramik ist absolut metallfrei und somit ideal für Allergiker oder sensible Patienten. Es treten keine Wechselwirkungen mit anderen Metallen im Mund auf.
  • Zahnfleisch-Freundlichkeit: Keramik ist extrem glatt, wodurch sich Bakterien (Plaque) deutlich schwerer festsetzen können. Das hält Ihr Zahnfleisch langfristig gesund.
Perfekt sitzende, ästhetische Keramikinlays nach dem Einsetzen – natürliches Erscheinungsbild der Backenzähne.
Hochwertige Goldkrone auf einem Gipsmodell zur Demonstration von langlebigem Zahnersatz aus dem Meisterlabor.
Präzise gefertigte Goldfüllungen auf Backenzähnen, ein Beispiel für hochwertigen Zahnersatz von Kollmar.

Ästhetik im Vergleich: Während die Teilkronen aus Vollkeramik (links) praktisch unsichtbar mit der natürlichen Zahnsubstanz verschmelzen, bleiben Goldkronen (Mitte und rechts) im Mundraum deutlich als Metall sichtbar.

Herausnehmbarer Zahnersatz: Komfort und Stabilität

Wenn viele Zähne fehlen oder ein Kiefer ganz zahnlos ist, bieten moderne herausnehmbare Lösungen wieder Sicherheit und Ästhetik.

Teilprothesen (Modellguss)

Diese Prothesen besitzen eine metallverstärkte Basis und werden an den verbliebenen Zähnen befestigt. Während einfache Klammern oft sichtbar sind, bieten wir Ihnen mit Doppelkronen (Teleskopen) oder implantatgestützten Lösungen Varianten an, die im Mund vollkommen natürlich wirken und einen festen Sitz garantieren.

Totalprothesen

Bei einem komplett zahnlosen Kiefer stellen wir mit einer Totalprothese die Kaufunktion und die Gesichtsproportionen wieder her. Unser Experten-Tipp: Besonders im Unterkiefer ist der Halt einer klassischen Prothese oft schwierig. Hier können wir mit Implantaten nachhelfen, die wie „Anker“ wirken und die Prothese stabilisieren. So können Sie wieder unbeschwert lachen und fest zubeißen.

Häufig gestellte Fragen zum Zahnersatz (FAQ)

Wie lange dauert es, bis mein Zahnersatz fertig ist?

Da Qualität Zeit braucht, sind meist mehrere Sitzungen notwendig. Nach der Planung und Vorbehandlung nehmen wir Präzisionsabdrücke. Die Herstellung im Meisterlabor dauert in der Regel 1 bis 2 Wochen. In dieser Zeit versorgen wir Sie selbstverständlich mit einem hochwertigen Provisorium.

Das hängt von der Situation ab. Bei einer Brücke müssen die Nachbarzähne beschliffen werden. Ein Implantat hingegen ersetzt die Wurzel, schont die Nachbarzähne und verhindert Knochenabbau. Dr. Fritz Kollmar berät Sie individuell, welche Lösung für Ihren Befund nachhaltiger ist.

Dank moderner Vollkeramik und der engen Abstimmung mit unserem Zahntechniker im Haus: Nein! Wir passen Farbe, Form und Transparenz so präzise an Ihre Umgebung an, dass der Zahnersatz eins zu eins wie ein natürlicher Zahn wirkt.

Die gesetzlichen Krankenkassen zahlen einen sogenannten „Festzuschuss“ zur Regelversorgung. Entscheiden Sie sich für eine ästhetischere oder komfortablere Lösung (wie Vollkeramik oder Implantate), entsteht ein Eigenanteil. Wir erstellen Ihnen vorab einen detaillierten Heil- und Kostenplan, den Sie bei Ihrer Versicherung einreichen können.

Checkliste: Sicherer Start mit Ihren „neuen Zähnen“

Damit Ihr hochwertiger Zahnersatz perfekt funktioniert und über viele Jahre so schön bleibt wie am ersten Tag, haben wir die wichtigsten Tipps für Sie zusammengefasst:

  • Die erste Zeit: Geben Sie sich ein wenig Zeit zur Gewöhnung. Ob Krone oder Prothese – das Gefühl im Mund und die Aussprache können sich in den ersten Tagen etwas ungewohnt anfühlen. Das legt sich meist sehr schnell.

  • Perfekter Sitz: Sollte eine Prothese nach ein paar Tagen irgendwo drücken („Druckstellen“), vereinbaren Sie bitte sofort einen kurzen Termin. Wir können diese Stellen im hauseigenen Labor meist in wenigen Minuten korrigieren.

  • Die richtige Reinigung:

    • Festsitzend: Putzen Sie Kronen und Brücken wie Ihre eigenen Zähne. Besonders wichtig sind die Übergänge zum Zahnfleisch und die Zwischenräume (Zahnseide oder Interdentalbürsten).

    • Herausnehmbar: Reinigen Sie Ihre Prothese mindestens zweimal täglich mit einer speziellen Prothesenbürste und sanfter Seife oder Gel – bitte keine scheuernde Zahnpasta verwenden!

  • Schutz vor Überlastung: Vermeiden Sie es in der Anfangsphase, auf extrem harte Gegenstände zu beißen (z. B. Eiswürfel oder ungeöffnete Pistazien), um die feine Keramikschichtung zu schützen.

  • Regelmäßiger Check-up: Besuchen Sie uns mindestens zweimal im Jahr zur Kontrolle. So können wir den festen Sitz Ihres Zahnersatzes prüfen und Beläge im Rahmen einer professionellen Zahnreinigung (PZR) entfernen.

  • Profi-Tipp für Prothesen: Reinigen Sie Ihren herausnehmbaren Zahnersatz immer über einem mit Wasser gefüllten Waschbecken. Falls Ihnen die Prothese aus der Hand rutscht, fällt sie weich und zerbricht nicht.

Lebensqualität durch festsitzende Zähne?