Icon eines Schneidezahns

Keramikinlays in Kassel: Höchste Präzision für den Erhalt Ihrer Zähne

Wenn ein Zahn durch Karies geschädigt ist, stellt sich oft die Frage: Reicht eine normale Füllung noch aus oder muss es schon eine Krone sein? In unserer Kasseler Praxis bietet Dr. Fritz Kollmar mit Keramikinlays die perfekte goldene Mitte an.

Ein Inlay ist eine im Meisterlabor individuell angefertigte „Einlagefüllung“. Sie kommt zum Einsatz, wenn die Defekte für Kunststofffüllungen zu groß sind, wir aber so viel wertvolle gesunde Zahnsubstanz wie möglich erhalten möchten.

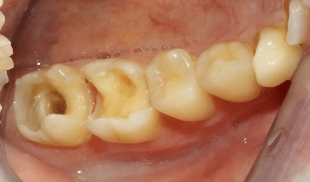
Vorbereitete Backenzähne vor dem Einsetzen von hochwertigen Keramikinlays in der Zahnarztpraxis Kassel.
Perfekt sitzende, ästhetische Keramikinlays nach dem Einsetzen – natürliches Erscheinungsbild der Backenzähne.

Warum Keramik? Ästhetik trifft auf enorme Stabilität

Früher waren Inlays oft aus Gold – stabil, aber im Lächeln deutlich sichtbar. Heute setzen wir fast ausschließlich auf moderne Keramik. Und das aus guten Gründen:

  • Unsichtbar: Wir passen die Farbe und Struktur exakt an Ihre echten Zähne an. Nach dem Einsetzen ist das Inlay nicht mehr vom natürlichen Zahn zu unterscheiden.

  • Stabilisierender Verbund: Während herkömmliche Füllungen den Zahn nur „stopfen“, wird das Inlay fest mit dem Zahn verklebt. Dieser Klebeverbund hält Kräften von bis zu 300 kg pro Kubikzentimeter stand und verhindert, dass Teile Ihres natürlichen Zahns wegbechen.

  • Biokompatibel: Keramik ist absolut unbedenklich, verformt sich beim Kauen nicht und leitet Kräfte exakt so weiter wie Ihr natürlicher Zahnschmelz.

Drei Wege zu Ihrem perfekten Inlay

Je nach Ihren Bedürfnissen und der Komplexität des Defekts (ob nur die Kaufläche oder auch die Seiten zum Nachbarzahn betroffen sind), nutzen wir unterschiedliche Herstellungsverfahren:

1. Das Meisterstück: Geschichtete Keramik

In aufwendiger Handarbeit schichtet der Zahntechniker die Keramikmasse auf. Dieses Verfahren ist zwar zeitintensiv, liefert aber die ästhetisch brillantesten Ergebnisse, da Lichtdurchlässigkeit und Farbtiefe perfekt simuliert werden können.

2. Die Robuste: Hochfeste Presskeramik

Hier wird eine spezielle Glaskeramik unter hohem Druck in Form gepresst. Diese Inlays zeichnen sich durch eine extrem gute Passgenauigkeit und eine noch höhere Stabilität als die geschichtete Variante aus.

3. Die Schnelle: CAD/CAM & CEREC

Sie haben wenig Zeit? Mit dem computergestützten CAD/CAM-Verfahren (CEREC) können wir Ihr Inlay oft in nur einer Sitzung direkt in unserem Praxislabor fräsen. Der Zahn wird optisch gescannt, am Computer konstruiert und aus einem Keramikblock präzise herausgearbeitet.
Nahaufnahme eines passgenauen, metallfreien Keramikinlays auf einer Fingerspitze zur Verdeutlichung der Präzision.
3D-Rekonstruktion eines Keramikinlays am Computerbildschirm in der Zahnarztpraxis Dr. Kollmar Kassel.

Der Ablauf: In zwei Schritten zum Ziel

Für laborgefertigte Inlays planen wir in der Regel zwei Termine in unserer Praxis ein:

  • Termin 1: Wir entfernen die Karies und bereiten den Zahn vor. Dann nehmen wir einen präzisen Abdruck beider Kiefer, damit das Labor ein exaktes Modell Ihrer Zähne erstellen kann.

  • Termin 2: Dr. Fritz Kollmar probiert das Inlay an. Wenn alles perfekt passt, wird es dauerhaft eingesetzt. Zum Schluss prüfen wir den Schlussbiss und polieren die Ränder so glatt, dass Sie keinen Übergang mehr spüren.

Eine Investition in Ihre Zahngesundheit

Da Keramikinlays aufwendige Laborarbeiten sind, stellen sie keine Standardleistung der gesetzlichen Krankenkassen dar. Doch die Investition lohnt sich: Durch die lange Haltbarkeit und die zusätzliche Stabilisierung des Restzahns sind Inlays ausnahmslos die beste Möglichkeit, beschädigte Zähne langfristig zu reparieren.

Häufig gestellte Fragen zu Keramikinlays (FAQ)

Was ist der Unterschied zwischen einer Füllung und einem Inlay?

Eine normale Füllung (z. B. aus Kunststoff) wird direkt in den Zahn „gestopft“ und härtet dort aus. Ein Inlay hingegen wird im Labor exakt nach Ihrem Zahnabdruck maßangefertigt. Es ist deutlich stabiler, verformt sich beim Kauen nicht und hält in der Regel wesentlich länger als eine herkömmliche Füllung.

Keramikinlays sind auf Langlebigkeit ausgelegt. Bei guter Pflege halten sie oft 15 Jahre oder deutlich länger. Da sie mit einer speziellen Adhäsivtechnik fest mit dem Zahn verklebt werden, stabilisieren sie den Zahn sogar zusätzlich und schützen ihn vor Rissen oder Brüchen (Höckerfrakturen).

In Sachen Ästhetik gewinnt Keramik haushoch, da sie vom natürlichen Zahn nicht zu unterscheiden ist. Aber auch medizinisch bietet sie Vorteile: Keramik leitet Wärme und Kälte weniger stark weiter als Metall und ist absolut biokompatibel. Gold ist zwar ebenfalls extrem haltbar, aber aufgrund der Farbe heute im sichtbaren Bereich kaum noch gefragt.

Keine Sorge, die Behandlung ist schmerzfrei. Die Vorbereitung erfolgt unter lokaler Betäubung. Beim zweiten Termin, dem Einsetzen, spüren Sie in der Regel nur einen kurzen Druck, wenn das Inlay präzise in den Zahn eingepasst und verklebt wird.

Die gesetzlichen Krankenkassen zahlen lediglich einen Festzuschuss für die sogenannte „Regelversorgung“ (meist einfache Füllungen). Da ein Keramikinlay eine aufwendige zahntechnische Maßnahme im Labor ist, entsteht ein Eigenanteil. Viele Patienten sehen dies jedoch als sinnvolle Investition, da der Zahn langfristig stabiler bleibt und seltener nachbehandelt werden muss.

Der größte Vorteil ist die Zeitersparnis. Während klassische Inlays zwei Termine und ein Provisorium erfordern, können CEREC-Inlays oft in einer einzigen Sitzung digital gescannt, gefräst und eingesetzt werden. Das Ergebnis ist ebenfalls hochpräzise und sofort belastbar.

Dank moderner Hochleistungskleber, die eine Kraft von bis zu 300 kg pro Quadratzentimeter halten können, ist das extrem selten. Der Verbund zwischen Keramik und Zahn ist chemisch und mechanisch so stabil, dass das Inlay fast wie ein Teil Ihres eigenen Zahns wirkt.

Auf einen Blick: Das Meisterstück für Ihren Zahn

  • Stabilität: Der feste Klebeverbund schützt Ihren Zahn vor Brüchen und hält selbst höchstem Kaudruck stand.

  • Unsichtbarkeit: Farbe und Form werden so exakt angepasst, dass niemand den Unterschied zu Ihren echten Zähnen sieht.

  • Verträglichkeit: Die hochwertige Biokeramik leitet Wärme und Kälte genauso natürlich weiter wie Ihr eigener Zahnschmelz.

  • Langlebigkeit: Freuen Sie sich auf eine Lösung, die bei guter Pflege oft über Jahrzehnte hält.

Perfekter Schutz, den man nicht sieht?